こんにちは。大崎シティデンタルクリニック歯科衛生士の下田です。
今日は糖尿病による影響のみられ歯肉についてお話ししたいと思います。
まず、糖尿病の臨床的症状は、口渇、多尿、多食、全身倦怠、体重減少等々であると言われてます。
お口の中に現れる症状としては、口渇による口腔内乾燥症、舌の熱感、味覚異常、口腔カンジダ症などがあげられます。
また高血糖のため唾液中のグルコースが増加し、齲蝕活動性も高まると言われてます。
糖尿病患者の歯周疾患においては、思春期性、妊娠性、と同じく不潔性因子が主原因であることはもちろんのこと、それに加えて好中球機能不全により、感染に対して歯周組織の抵抗力が著しく低下すると言われてます。
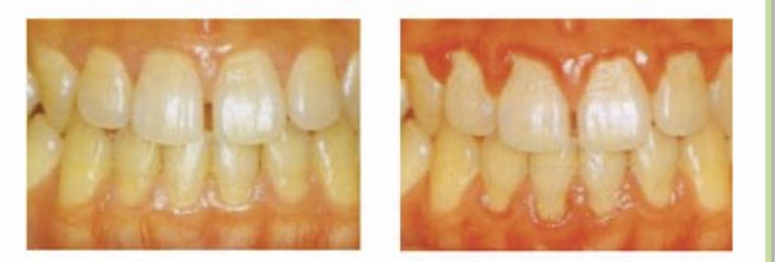
こちらが、健康な歯肉と歯周病の歯肉です。炎症がひどいと歯肉が赤くなり腫れてしまいます。
歯周病の治療は、早期発見、早期治療が重要です。炎症がまだ歯肉にとどまっている歯肉炎であれば、ほとんどの場合に正しい歯磨きや歯石除去で治ります。正しい歯の磨き方をぜひ大崎シティデンタルクリニックへご相談下さい。しかし、炎症が歯肉を通り越して歯槽骨や歯根膜までおよんでいる歯周炎であれば、歯周ポケットの深部まで徹底的に感染源を除去するなど、専門的な治療が必要となります。歯周病の進行の程度によっては外科的な処置をすることもあります。
歯周病は糖尿病の合併症の一つです。他の合併症と同様に定期的に検診を受けることが大切です。現在自覚症状のない方でも、歯周病の状態を診査・診断してもらって下さい。
大崎シティデンタルクリニック
歯科衛生士 下田
