こんにちは。
歯科医師の三留です。
少し古いケースですが
差し歯が折れて来て再初診で
いらした75歳の男性です。
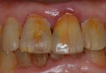
二枚目の写真に写っているのは
折れて来た差し歯です。
歯茎に接する部分に
自分の歯の一部がついてきて
しまってます。
写真1

写真2

歯根の表面が歯茎の中に隠れて
しまっているので麻酔をして
電気メスという道具で
慎重に歯茎をごくわずかずつ
削り取って隠れた部分を
露出させ
写真3

写真4

仮歯を2段階に分けて調整して
歯茎の回復を待ちます。
写真5

写真6

年齢を重ねてくると
歯が飴色に変色し、
表面のエナメル質もすこしずつ
亀裂が入り、そこに色素沈着をして
歯の表面の色が非常に複雑になります。
その中の一本をセラミックの差し歯で
回復することは多数の歯を同時に
治す事に比べて違う難しさがあります。
技工士さんに資料となる写真を
送り、場合によっては直接診療室まで
来てもらって実際に口腔内を見て
もらうこともあります。
つい先日、検診でいらしてくれた
ときの様子がこれです。
写真7

最後の写真は下の前歯の着色を
見て頂くために撮影したものですが、
画面上部に写り込んでいる上の前歯を
見てもどこが差し歯か中々分からないと
思います。
写真8

こちらもやるべきことをやり
適切に技工士さんと連携がとれると
このようにどこを治したか分からない
くらいマッチしたものを入れることが
出来ます。
もちろん見た目だけではなく
安心して食事が出来るように
機能の回復も細心の注意をはらって
行っています。
大崎シティデンタルクリニックでは
機能的、審美的に、より優れた治療を
提供する準備があります。
ご興味のある方はお気軽にご相談ください。
三留 康司
